大脑发蒙不清醒可能由睡眠不足、压力过大、低血糖、贫血、脑供血不足等原因引起,可通过调整作息、放松心情、补充营养、药物治疗等方式改善。

长期熬夜或睡眠质量差会导致大脑无法充分休息,影响脑细胞代谢和神经递质平衡。表现为注意力不集中、反应迟钝、记忆力下降。建议固定作息时间,睡前避免使用电子设备,创造安静黑暗的睡眠环境。轻度睡眠障碍可通过热水泡脚、听轻音乐等非药物方式缓解。
持续的精神紧张会刺激皮质醇过度分泌,抑制前额叶皮层功能。常见于高强度工作或情感困扰人群,伴随焦虑、易怒等情绪症状。可通过正念冥想、腹式呼吸等放松训练调节,每周保持适量有氧运动有助于缓解压力激素堆积。
饥饿状态下血糖水平降低会影响脑细胞能量供应,出现头晕、冷汗、思维迟缓等症状。糖尿病患者使用降糖药不当更易发生。建议规律进食,随身携带饼干等速效碳水。发作时可立即进食含糖食物,严重者需就医检查胰岛功能。

血红蛋白不足导致脑组织缺氧,常见于月经量多或挑食人群。除头脑昏沉外,还伴有面色苍白、乏力等表现。缺铁性贫血可补充富铁食物如动物肝脏、菠菜,必要时服用右旋糖酐铁、琥珀酸亚铁等药物,需配合维生素C促进吸收。
颈椎病或动脉硬化可能影响椎基底动脉血流,引发慢性脑缺血。中老年患者可能伴随耳鸣、视物模糊等症状。需通过颈动脉超声等检查确诊,可服用尼莫地平、银杏叶提取物等改善微循环药物,颈椎病患者需配合牵引治疗。

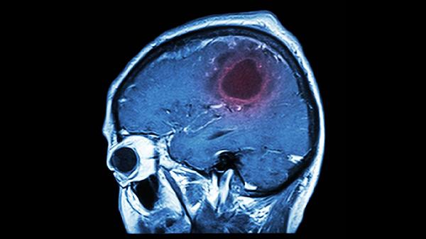
日常应注意保持规律作息与均衡饮食,适量补充核桃、深海鱼等富含不饱和脂肪酸的食物。工作间歇可做颈部保健操促进血液循环,持续两周以上不缓解或伴随剧烈头痛、呕吐等症状时,需及时进行头颅CT等检查排除器质性疾病。心理因素引起者可尝试心理咨询或沙盘治疗等干预方式。
2025-06-24
2025-06-24
2025-06-24
2025-06-24
2025-06-24
2025-06-24
2025-06-24
2025-06-24
2025-06-24
2025-06-24