大脑不开窍可能与遗传因素、睡眠不足、用脑过度、心理压力、脑部疾病等原因有关,可通过调整作息、心理疏导、营养补充、认知训练、医疗干预等方式改善。

部分人群因先天基因差异,神经突触连接效率较低,表现为思维灵活性不足。这类情况可通过重复性认知训练增强大脑可塑性,例如每日进行逻辑推理题练习或学习新技能。家长若发现孩子存在持续性的认知迟缓,应尽早进行专业评估。
长期睡眠少于7小时会损害海马体功能,导致记忆力减退和反应迟钝。建议保持规律作息,睡前避免使用电子设备,必要时可短期服用安神补脑液、枣仁安神胶囊等中成药辅助调节,但须在医生指导下使用。
持续高强度脑力消耗会使大脑皮层代谢产物堆积,出现思维阻滞现象。可采用番茄工作法分段休息,配合有氧运动促进脑部血液循环。适量补充含磷脂酰丝氨酸、DHA的营养素有助于修复神经细胞膜。

慢性压力会持续分泌皮质醇,抑制前额叶皮层活性。认知行为疗法能有效改善这种情况,通过正念冥想、情绪日记等方式调节压力反应。症状严重时可遵医嘱使用盐酸帕罗西汀、草酸艾司西酞普兰等抗焦虑药物。
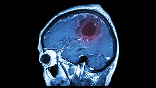
脑动脉硬化、早期阿尔茨海默病等器质性疾病会导致认知功能下降,常伴随头痛、定向障碍等症状。需通过头颅MRI、脑电图等检查确诊,临床常用多奈哌齐、美金刚等神经保护剂治疗,配合经颅磁刺激等物理疗法。

日常应保证深海鱼、坚果等富含欧米伽3脂肪酸食物的摄入,每周进行3次以上30分钟的中等强度运动。建议建立错题本记录思维卡壳场景,定期复盘改进。若自我调节无效或伴随其他神经系统症状,需及时到神经内科或临床心理科就诊,避免延误器质性疾病的治疗时机。长期用脑人群可每半年进行认知功能筛查,动态监测大脑健康状态。
2025-11-06
2025-11-06
2025-11-06
2025-11-06
2025-11-06
2025-11-06
2025-11-06
2025-11-06
2025-11-06
2025-11-06