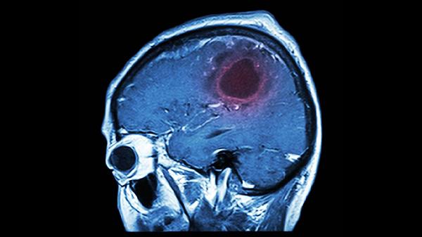
大脑突然短暂失忆建议挂神经内科或精神心理科,可能与短暂性脑缺血发作、癫痫、偏头痛、心理应激反应、脑外伤后遗症等因素相关。

神经内科主要排查器质性病变。短暂性脑缺血发作是常见诱因,由于脑血管暂时性供血不足导致记忆功能短暂中断,患者可能出现言语含糊或肢体麻木。癫痫发作尤其是颞叶癫痫可能伴随数分钟记忆空白,脑电图检查可辅助诊断。偏头痛伴随的短暂性全面遗忘症多持续数小时,通常无须特殊治疗。脑震荡等轻度脑外伤也可能引发逆行性遗忘,需结合影像学排除颅内出血。

心理因素导致的解离性遗忘需精神心理科评估。急性应激反应可能引发心因性失忆,患者存在明显情绪触发事件且记忆缺失具有选择性。焦虑发作时的过度换气综合征会造成脑缺氧性记忆中断,伴随手脚麻木等症状。睡眠剥夺或慢性压力导致的认知功能暂时抑制也属于此类,心理量表测评可辅助判断。部分抑郁症患者可能出现假性痴呆表现,需与器质性疾病鉴别。

日常需保持规律作息与适度运动,避免熬夜和过度疲劳。高血压、糖尿病患者应严格控制基础疾病,减少血管性风险因素。突发失忆伴随头痛呕吐或肢体瘫痪时须立即就医,记录发作频率和持续时间有助于医生判断病因。饮食上可增加深海鱼类和坚果类食物,适量补充B族维生素有助于神经保护,但所有治疗均需在专业医师指导下进行。
2025-06-09
2025-06-09
2025-06-09
2025-06-09
2025-06-09
2025-06-09
2025-06-09
2025-06-09
2025-06-09
2025-06-09