大脑瞬间失去意识后若迅速恢复且无其他异常症状,通常属于正常生理现象。可能与体位性低血压、短暂性脑缺血发作、低血糖、情绪应激、睡眠不足等因素有关。

快速起身时血液因重力作用向下肢聚集,导致脑部短暂供血不足。常见于脱水、长期卧床或服用降压药物的人群。建议改变体位时动作放缓,适当增加水和盐分摄入,避免长时间站立。
脑血管暂时性痉挛或微小血栓导致局部缺血,多伴有视物模糊或肢体麻木。高血压、动脉硬化患者风险较高,需监测血压血脂,必要时使用阿司匹林、氯吡格雷等抗血小板药物。
血糖水平骤降引发交感神经兴奋和脑功能抑制,常见于糖尿病患者胰岛素过量或未及时进食。随身携带糖果饼干,发作时立即进食含糖食物,定期检测血糖水平。

强烈情绪刺激触发迷走神经过度兴奋,引起心率血压骤降。多见于疼痛惊吓或密闭空间恐惧时,可通过深呼吸训练和心理脱敏疗法改善。
长期睡眠不足导致大脑代谢废物清除障碍,可能突发短暂意识中断。保持规律作息,睡前避免蓝光刺激,严重失眠可短期使用右佐匹克隆、唑吡坦等镇静药物。

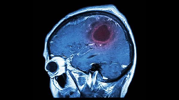
日常需保持适度有氧运动增强血管调节能力,饮食注意补充铁元素和维生素B族。若频繁发作或伴随抽搐、大小便失禁等症状,需进行脑电图、头颅MRI等检查排除癫痫或脑结构性病变。避免驾驶、高空作业等高风险活动,发作后记录时间与诱因有助于医生判断。
2026-01-02
2026-01-02
2026-01-02
2026-01-02
2026-01-02
2026-01-02
2026-01-02
2026-01-02
2026-01-02
2026-01-02